El gobernador de Durango, Esteban Villegas, garantizó que cerca de 1,400 mujeres recibirán tratamiento preventivo ante un brote de meningitis en el estado.
Se trata de pacientes que se sometieron a un procedimiento de anestesia en alguno de los cuatro hospitales privados de Durando en donde surgió el brote causado por un hongo.
“Hay un planteamiento para poder empezar a hacer un tratamiento en las mujeres que hemos detectado que no tienen ningún síntoma“, indicó el priista citado por Reforma.
“Si fueron también y se hicieron un procedimiento quirúrgico en estos hospitales, independientemente de que no tengan ningún síntoma en este momento queremos prevenir, y ya hay alguna luz”, agregó.
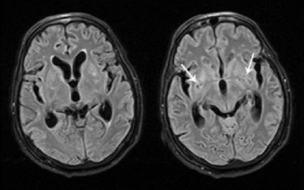
Según los apuntes médicos, la meningitis consiste en la inflamación de las membranas (meninges) que rodean al cerebro y la médula espinal.
Habitualmente, aunque no siempre, tienen una causa infecciosa como bacterias, parásitos, hongos, virus, ciertos medicamentos o tumores.
El pasado 1 de diciembre, el subsecretario de Prevención y Promoción de la Salud, Hugo López-Gatell, informó sobre 18 muertes en Durango debido al brote de meningitis ocasionado por anestesia contaminada.
En una conferencia de prensa, dio a conocer que se tienen registrados 68 casos de meningitis debido al hongo fusarium solani y precisó que la enfermedad no se transmite de persona a persona.
“Lo hemos caracterizado como una situación compleja en términos de salud porque se trata de un brote de meningitis, ya no le llamamos aséptica, porque a lo largo de la investigación ya encontramos la causa, el agente infeccioso y lo que encontramos fue un hongo microscópico”, explicó López-Gatell a medios.
López-Gatell precisó que “no se trata de una enfermedad que va a ser transmitida de persona a persona”.
Dijo que esto es importante para que no se genere “una inquietud, no justificada de que pudiera ser un brote que se propague porque no es la manera en que se contagia esta meningitis en particular”.

