Aidoc, la nueva empresa de Tel Aviv que utiliza AI para analizar las exploraciones médicas, ha recaudado $ 27 millones en fondos de la Serie B. La ronda está liderada por Square Peg Capital y lleva la financiación total hasta la fecha a $ 40 millones. Los patrocinadores anteriores de la compañía incluyen a VC TLV Partners de Israel, Magma Ventures y Emerge.
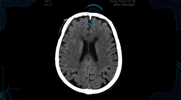
Al ofrecer una solución dirigida a los radiólogos (y ya implementada comercialmente en 100 sitios), Aidoc afirma poder detectar anomalías visuales de alto nivel a partir de diversos tipos de exámenes médicos. La idea es que al trabajar en conjunto con los humanos, es capaz de marcar los casos más críticos y urgentes en los que un diagnóstico y tratamiento más rápidos podrían salvar vidas.
Inicialmente, brindando apoyo para las tomografías computarizadas, la empresa israelí recientemente alcanzó su millonésima exploración analizada de pacientes. Dice que está agregando soporte para oncología y rayos X. La solución de oncología detectará, medirá y comparará de forma automática e instantánea el tamaño del tumor con exploraciones anteriores tan pronto como el radiólogo abra la imagen. También me han dicho que otra característica de la próxima hoja de ruta es la compatibilidad con las exploraciones de MRI.
“De los 100 sitios con los que ya estamos trabajando, la evidencia acumulada está demostrando un valor real para los pacientes”, dice el cofundador y CEO de Aidoc, Elad Walach. “Sentimos la responsabilidad de llevar esta tecnología a tantos hospitales como sea posible, tan pronto como sea posible”. La compañía pretende ser desplegada en 500 hospitales en los próximos dos años.
Walach dice que Aidoc está trabajando con el American College of Radiology DSI para monitorear continuamente el rendimiento de la solución implementada comercialmente de la compañía. El objetivo es proporcionar visibilidad pública sobre el impacto clínico en la vida real, que, según él, es crucial para la adopción continua de las tecnologías de inteligencia artificial en la práctica médica.
