La Agencia de Salud Pública de Canadá (PHAC) confirmó este jueves que dos personas resultaron positivos a la viruela del mono, luego de interactuar con un ciudadano estadounidense que pudo contagiarse de la enfermedad antes o durante su visita a Montreal, Quebec.
Las instituciones de salud de Canadá identificaron que dos ciudadanos presentaban signos y síntomas que podrían ser compatibles con la infección por viruela del mono, dado que el Laboratorio Nacional de Microbiología (NML, por sus siglas en inglés) les realizó una prueba para confirmar o descartar el virus que provoca la enfermedad.
La agencia aseveró que está trabajando con los Centros para el Control y la Prevención de Enfermedades de los Estados Unidos y las autoridades de salud pública de la provincia de Quebec, para investigar la exposición potencial y los contactos del caso de viruela del mono identificado recientemente en los Estados Unidos.
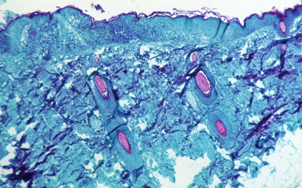
Es una enfermedad infecciosa zoonótica que se encuentra en partes de África central y occidental y que provoca infecciones humanas ocasionales, generalmente asociadas con la exposición a animales infectados o materiales contaminados.
Se han identificado casos limitados en otras regiones en el pasado, incluidos el Reino Unido, Estados Unidos, Israel y Singapur. Para los casos internacionales recientes, aún no está claro cómo los individuos estuvieron expuestos al virus de la viruela del simio.
La propagación de la viruela del mono de persona a persona es poco común, señala la PHAC. Sin embargo, cuando la propagación ocurre entre personas, el modo de transmisión es a través del contacto cercano con una persona infectada, por ejemplo, a través del contacto directo con sus fluidos corporales, gotitas respiratorias o llagas de viruela símica, o al compartir ropa, pijamas o artículos comunes que han sido contaminado con los fluidos o llagas de la persona infectada.
Al igual que con muchas otras enfermedades que se propagan a través del contacto cercano, las personas pueden reducir su riesgo manteniendo la distancia física, la higiene frecuente de las manos y las vías respiratorias, incluido el uso de máscaras, afirmó la máxima instancia de salud de Canadá.
Asimismo, exhortó a los canadienses a conocer los síntomas de la viruela del simio e informar cualquier inquietud a su médico de cabecera. Los signos y síntomas de la viruela del simio generalmente pueden incluir fiebre, dolor de cabeza, dolores musculares, agotamiento e inflamación de los ganglios linfáticos, y una erupción que a menudo aparece unos días después de que se desarrollan síntomas como la fiebre.
La agencia alertó a las autoridades de salud pública para que trabajen con los proveedores de atención médica para buscar pacientes que tengan signos o síntomas compatibles con la viruela del mono, independientemente de si han informado que viajaron o si tienen factores de riesgo específicos para la viruela del mono.
Esta es una investigación en evolución y en curso, tanto en Canadá como en todo el mundo. Se necesita más información para evaluar si existen mayores riesgos para la salud de las personas en Canadá. PHAC continuará brindando actualizaciones al público a medida que haya nueva información disponible.
