El cuerpo humano nos sorprende cada día con un nuevo descubrimiento. En este caso hablamos de una reara afección conocida como síndrome de Gorham-Stout con la que se produce la desaparición de los huesos del cuerpo. Sin duda, una enfermedad increíble que se ha convertido en viral a causa del llamativo caso de una mujer a la que le comenzaron a desaparecer algunos de los huesos de su cuerpo. Un proceso por el que se fueron desvaneciendo sus tejidos óseos y que pudo apreciarse a partir de numerosas radiografías. ¿Como es posible este proceso? Te lo contamos.
La enfermedad más extraña

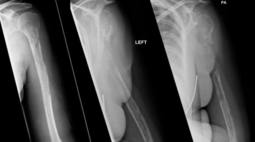
Los huesos se presentan como la base del cuerpo humano, un sistema o mecanismo que basa sus máximas en soportar el peso del cuerpo y permitir al mismo realizar numerosos movimientos. Ahora bien, ¿te imaginas que comienzan a desaparecer los huesos de tu cuerpo? Pues es exactamente lo que le ha ocurrido a una mujer que comenzó a sufrir enormes dolores en el brazo y hombro izquierdos. Después de un tiempo, la paciente decidió acudir al hospital, donde detectaron una lesión tumoral en el húmero. Los médicos pensaron que estos dolores podrían deberse a un claro caso de cáncer de hueso, sin embargo, los análisis posteriores detectaron que el cuerpo de la mujer no poseía ningún tipo de células cancerígenas.
Las pruebas fueron siendo cada vez más habituales y, para sorpresa de los médicos, se dieron cuenta que, tras numerosas radiografías, el húmero y algunos huesos del antebrazo estaban desapareciendo. Sí, los huesos se estaban desvaneciendo cuál terrón de azúcar en un baso de leche. Después de varios días de incesantes pruebas, los médicos se dieron cuenta que la mujer poseía el síndrome de Gorham-Stout, también conocido como el síndrome de los huesos que se desvanecen. Una afección de la que solo existen 62 casos documentados hasta la fecha y de la que se desconoce el origen.
Crecimiento anormal
Cabe destacar que esta enfermedad basa sus síntomas en un crecimiento anormal de los canales o vasos linfáticos que provoca la posterior rotura de los huesos. Unos mecanismos que finalmente son sustituidos por tejidos tumorales no malignos. Sin duda, un síndrome del que se conocen escasos datos que se manifiesta de distinta forma según el paciente pero que solo afecta a algunas zonas localizadas del cuerpo como los brazos o las piernas. Sin embargo, existen casos en los que la columna vertebral se ha visto afectada provocando así la parálisis total del paciente.

