Deep01, una startup taiwanesa que desarrolla software para ayudar a los médicos a interpretar las tomografías computarizadas del cerebro más rápidamente, anunció hoy que recaudó $ 2.7 millones. La financiación fue dirigida por el fabricante de PC ASUSTek.
Deep01 el producto ha obtenido la autorización de las Administraciones de Alimentos y Medicamentos de Taiwán y los Estados Unidos, y la compañía recibió su primer pedido de compra, por valor de aproximadamente $ 700,000, en febrero.
Otros inversores incluyeron el Fondo de Economía Digital, que está cofinanciado por las organizaciones de investigación taiwanesas, el Instituto de Investigación de Tecnología Industrial (ITRI) y el Instituto de Industria de la Información (III), y BE Capital.
El software Deep01 se usa actualmente en dos centros médicos y cuatro hospitales en Taiwán y ya ha ayudado a los médicos a revisar más de 2,000 escáneres cerebrales.
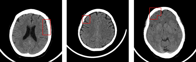
Creado para su uso por los departamentos de emergencias, Deep01 dice que su software puede detectar hemorragia intracerebral aguda con una tasa de precisión del 93% al 95%, en 30 segundos.
La startup fue lanzada en 2016 por un equipo que incluye al cofundador y CEO David Chou, quien obtuvo su Maestría en ciencias de la computación en la Universidad Carnegie Mellon y fue investigador de la Universidad de Harvard en el Hospital General de Massachusetts entre 2018 y 2019.
En un comunicado de prensa, Albert Chang, vicepresidente corporativo de ASUS y codirector de su Grupo Empresarial AIoT, dijo: “Deep01 es una startup líder en el área médica de IA. La colaboración es prometedora para aplicaciones médicas inteligentes “.
