-

China amenaza con tomar represalias por el viaje de la presidenta taiwanesa a EE UU
China ha rechazado este miércoles que la visita de la presidenta taiwanesa, Tsai Ing-wen, a Estados Unidos suponga una mera escala —así la han definido las autoridades de ambas partes— dentro de un viaje más largo y ha amenazado con tomar represalias si se reúne con el presidente de la Cámara de Representantes estadounidense, Kevin…
-

La tecnología de inteligencia artificial de la startup taiwanesa WritePath acelera la traducción de la divulgación financiera
En países donde el inglés no es el idioma principal, las empresas que cotizan en bolsa no solo tienen que lidiar con las regulaciones de divulgación financiera, sino también asegurarse de que sus materiales para inversores estén disponibles en inglés para los patrocinadores globales. WritePath hace que el proceso sea más rápido y escalable al…
-

El parche de la bandera taiwanesa de Top Gun 2 señala un cambio importante en Hollywood
En Top Gun 2, Maverick representa un parche de la bandera taiwanesa a pesar de las objeciones de China, lo que anuncia el fin de la reverencia de Hollywood ante los censores chinos. En Top Gun: Inconformista, el parche de la bandera taiwanesa de Maverick no es solo una pista sobre el pasado del personaje;…
-

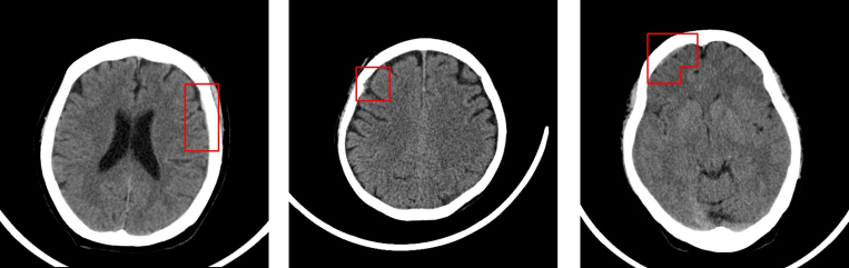
La startup taiwanesa Deep01 recauda $ 2.7 millones para su software de imágenes médicas basado en IA
Profundo01, una startup taiwanesa que desarrolla software para ayudar a los médicos a interpretar las tomografías computarizadas del cerebro con mayor rapidez, anunció hoy que ha recaudado 2,7 millones de dólares. La financiación estuvo a cargo del fabricante de PC ASUSTek. El producto de Deep01 ha obtenido la autorización de las Administraciones de Alimentos y…