-

Por qué debo actualizar mis vacunas contra el COVID-19 para el otoño
Los asesores de la Administración de Alimentos y Medicamentos (FDA, por sus siglas en inglés) recomendaron el jueves actualizar las vacunas contra el COVID-19 para atacar una cepa circulante del virus, mientras presionan por vacunas más nuevas que brinden una protección más duradera. El Comité Asesor de Vacunas y Productos Biológicos Relacionados de la FDA…
-

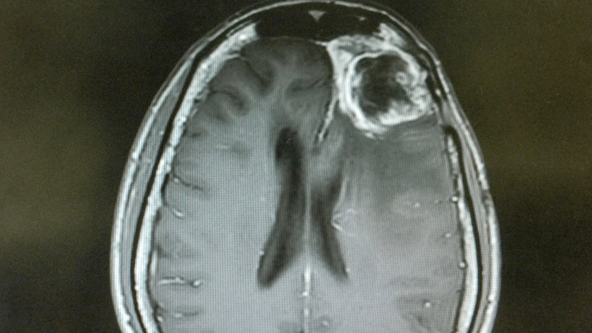
la vacuna SurVaxM se muestra prometedora para retrasar el regreso del glioblastoma
John Wishman fue diagnosticado con la forma más mortal de cáncer cerebral, glioblastoma, en el otoño de 2020. Dos años y medio después, todavía viaja y disfruta de la vida, una rareza para un cáncer con un tiempo de supervivencia promedio de solo 12 a 18 meses. Wishman, de 61 años, de Buffalo, Nueva York,…
-

caducan las vacunas de Johnson & Johnson contra el COVID-19
WASHINGTON – La vacuna contra el COVID-19 de Janssen (Johnson & Johnson) ya no está disponible en Estados Unidos, después de que los Centros para el Control y la Prevención de Enfermedades (CDC, en inglés) hayan solicitado la destrucción de todas las dosis aún sin administrar, que caducaron el domingo 7 de mayo. En una…
-

Expertos piden más vacunas bivalentes anticovid en México y AL
Las vacunas bivalentes contra la covid-19 han demostrado eficacia contra las variantes nuevas del SARS-CoV-2, pero falta aumentar su disponibilidad en México y Latinoamérica, señalaron este jueves especialistas. Durante una conferencia de prensa, Asofarma, socio comercial y distribuidor de Moderna en México, presentó los avances más recientes de sus investigaciones sobre el desarrollo de vacunas…
-

CNBC: Moderna ofrecería vacunas contra el cáncer, enfermedades cardíacas y otras, mira cuándo
MASSACHUSETTS – Moderna espera ofrecer un nuevo conjunto de vacunas que salvan vidas contra el cáncer, las enfermedades cardíacas y las afecciones previamente intratables para 2030, dijo un portavoz de la compañía a CNBC. El portavoz confirmó los comentarios del director médico de Moderna, el Dr. Paul Burton, a The Guardian el sábado. Burton dijo…
-

España: demandan a enfermera por falsificar registros de vacunas
MADRID — Cuarenta y dos familias en España emprendieron acciones legales contra una enfermera que, según alegan, no aplicó las vacunas que les correspondían a sus hijos, informó su abogado el jueves. La enfermera trabajó durante 18 meses en una clínica del gobierno en Santurtzi, cerca de la ciudad de Bilbao, en la región vasca…
-

CNBC: EEUU planifica detener compra de vacunas; el costo pasaría a las aseguradoras
Estados Unidos dejará de comprar vacunas contra el COVID-19 a precio reducido para todo el país y cambiará la distribución de vacunas al mercado privado a principios del otoño, transfiriendo el costo a las aseguradoras estadounidenses y a los estadounidenses sin seguro que perderán el acceso a las vacunas gratuitas. El Dr. Ashish Jha, coordinador…
-

Bill Gates, sin interés en la ‘carrera espacial’; prefiere comprar vacunas
El cofundador de Microsoft, Bill Gates, admitió que prefiere emplear su dinero para subvencionar vacunas y salvar vidas que para viajar a Marte, en un entrevista que adelanta este viernes la BBC y que difundirá esta tarde en su totalidad la cadena pública. En un breve anticipo de la citada entrevista con el multimillonario estadounidense…
-

Biden nombra nuevo jefe de Gabinete a Jeff Zients, coordinador de la campaña de vacunas contra la covid
Jeff Zients, el antiguo coordinador de la campaña contra la covid en EE UU, será el nuevo jefe de Gabinete de la Casa Blanca, en sustitución de Ron Klain, un viejo aliado de Joe Biden, según ha anunciado el propio presidente de Estados Unidos en un comunicado. Zients afronta un papel delicado: gestionar la buena…
-

El Gobierno de Guerrero autoriza el uso de vacunas caducas contra la covid en niños de entre 5 y 12 años
Personal de la Secretaría de Salud vacuna a una niña en un colegio de Acapulco, en el Estado de Guerrero, el 23 de enero de 2023.Carlos Alberto Carbajal (Cuartoscuro) Las autoridades nacionales de México y las de Guerrero han tratado de relajar desde el miércoles la polémica surgida a raíz del uso de vacunas contra…