
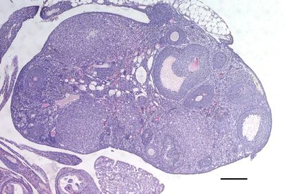
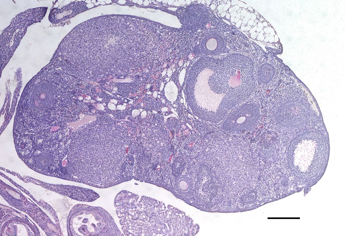
Las mujeres y las hembras de todos los mamíferos nacen con un número determinado de óvulos. El agotamiento de las reservas indica el fin de su edad reproductiva. Ahora, un amplísimo grupo de científicos ha identificado 290 zonas del genoma humano que influyen en la llegada de la menopausia. Ello ha permitido alargar la fertilidad en ratones modificando los mismos genes. En un futuro, esta información podría permitir saber cuándo se va a producir la senescencia reproductiva e incluso retrasarla.
Más información
En el último siglo y medio la esperanza de vida en los países más desarrollados ha pasado de los 45 años a los 85. Pero el fin de la edad reproductiva de las mujeres se mantiene inalterable, en torno a los 47-52 años. Identificar qué factores genéticos intervienen en el momento de la menopausia permitiría no solo otorgar mayor libertad a las mujeres en lo que se refiere a organizar la reproducción; también ayudará a aquellas en las que el agotamiento de las reservas de óvulos se produce antes de lo que la media dice.
En un enorme esfuerzo, 300 científicos de todo el mundo han estudiado el genoma de más de medio millón de mujeres conservado en varias bases de datos. Buscaban variaciones en el ADN que estuvieran relacionadas con la aparición temprana o tardía de la menopausia. El trabajo, publicado este miércoles en la revista Nature, ha encontrado al menos 290 variantes en aquellas féminas con un fin de la vida reproductiva que se alejaba de la edad media, ya fuera por exceso o por defecto. La cifra supone multiplicar por cinco las modificaciones genéticas que se sabía afectaban a la fertilidad natural.
La introducción de alguna de estas mutaciones en ratones elevó la cantidad de óvulos disponibles
El profesor Ignasi Roig, responsable del equipo del Instituto de Biotecnología y Biomedicina de la Universitat Autònoma de Barcelona y coautor de la investigación, señala que cambios en determinados genes aparecen asociados con “una menopausia tardía, de hasta tres años y medio”. También, recuerda, “hay otras mutaciones que conllevan un adelanto”.
Además del incremento de variaciones genéticas conocidas que afectan a la menopausia, este trabajo ha destacado la conexión entre esta senescencia ovárica y los mecanismos que regulan la reparación del ADN de las células o la propia muerte celular, la llamada apoptosis, cuando las células se suicidan si algo va mal. Lo explica Roig: “La gran mayoría de los genes que identificamos de estos 290 están involucrados en la reparación del ADN dañado”. En otros tejidos y partes del cuerpo humano, lo que hacen es corregir errores o fallos a nivel genético provocados factores internos o ambientales. “Nosotros encontramos genes de reparación del ADN relacionados con la aparición de la menopausia que funcionan de varias maneras diferentes: desde la etapa de replicación del ADN cuando se genera la reserva de óvulos en el feto, hasta la reparación de roturas en el ADN que se hacen para introducir variabilidad genética en los óvulos durante un proceso llamado meiosis, también en etapas fetales”, detalla Roig.
Pero además hay una concentración de variaciones en una cincuentena de genes que intervienen en la muerte celular. “Cuando una célula sufre daño en su ADN, la maquinaria de reparación del ADN activa mecanismos de bloqueo de la progresión del ciclo celular para dar tiempo a la célula a reparar el daño. Si esto no puede darse, se activan mecanismos de apoptosis con tal de eliminar esta célula dañada y evitar problemas para el organismo. Del mismo modo, estos procesos también ocurren en los óvulos”, comenta Roig.
Los mismos mecanismos que afectan al momento de la menopausia intervienen en la reparación del ADN y la muerte celular
Toda esta nueva información permitió a los científicos cambiar la duración de la vida reproductiva de ratones modificados para portar alguna de estas mutaciones y así bloquear o activar determinados genes. Es el caso de dos genes, CHEK1 y CHEK2, que regulan diversos procesos de reparación del ADN. Al eliminar uno de ellos, el CHEK2, para que dejara de funcionar o potenciar al otro gen, CHEK1, para aumentar su actividad, observaron un incremento del 25% de la duración de la vida reproductiva en los ratones, con un mayor número de óvulos en los roedores mutantes.
A medio plazo, estos hallazgos podrían ayudar a predecir qué mujeres tienen más riesgo de tener menopausia a una edad temprana. La doctora Katherine Ruth, de la Universidad de Exeter y coautora del estudio comenta en una nota: “Esperamos que nuestro trabajo ayude a proporcionar nuevas posibilidades para ayudar a las mujeres a planificar el futuro. Al encontrar muchas más de las causas genéticas de la variabilidad en la aparición de la menopausia, hemos demostrado que podemos empezar a predecir qué mujeres podrían tener una menopausia precoz y, por lo tanto, luchar para quedar embarazadas de forma natural. Y como nacemos con estas variaciones genéticas, podríamos ofrecer este consejo a las mujeres jóvenes”.
Pero Krina Zondervan, del departamento de la mujer y la salud reproductiva de la Universidad de Oxford, recuerda que el genético es solo uno de los determinantes que intervienen en el cuándo de la menopausia. En un comentario, también en la revista Nature, dice que son “muchos los factores que determinan la duración de la vida reproductiva y la mayoría, incluyendo las influencias nutricionales, están por descubrir”.
Una última aportación de este trabajo tiene que ver con la conexión entre menopausia y estado de salud general, un terreno en el que los avances se están produciendo a gran velocidad. Los investigadores han visto que un adelanto de la menopausia respecto a la edad media aumenta el riesgo de diabetes tipo 2 y está relacionado con una peor salud ósea y un mayor riesgo de fracturas. Sin embargo, un retraso de la menopausia disminuye el riesgo de algunos tipos de cáncer, como el de ovario y el de mama.
Puedes seguir a MATERIA en Facebook, Twitter e Instagram, o apuntarte aquí para recibir nuestra newsletter semanal.
