
Es posible que la ingeniería de los seres vivos no le hubiese gustado a un perfeccionista como Steve Jobs. Más que un producto acabado con detalle, los habitantes del mundo son hoy fruto del modo en que la vida aprovecha los errores, las mutaciones al replicarse, para adaptarse a nuevas circunstancias. Por eso es difícil constreñir lo que es humano a un estándar y hay formas de estar vivo y bien tan sorprendentes. Una de ellas es la de personas a las que les faltan grandes partes del cerebro.
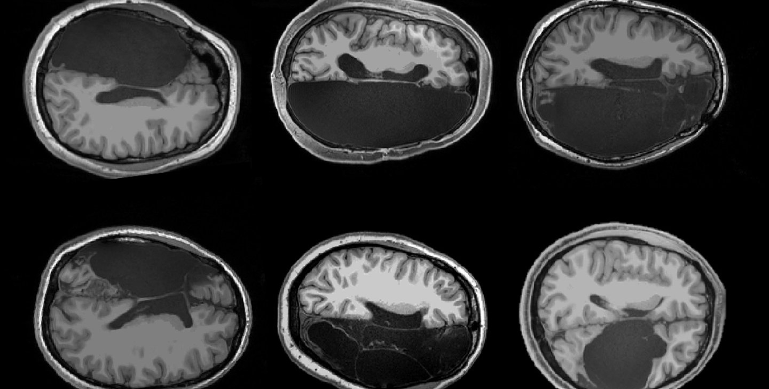
En un artículo reciente publicado en la revista Neuropsychologia se menciona el caso de una mujer que un día, durante un chequeo médico, descubrió que le faltaba el lóbulo temporal izquierdo. Esta región, normalmente, desempeña una función importante en la capacidad para entender lo que se nos dice. Este tipo de ausencia debería suponer algún tipo de limitación en las habilidades lingüísticas de la paciente, pero ella nunca las había experimentado y jamás había intuido que algo faltase en su cerebro.
Casos como este no son tan extraños y en muchas ocasiones tienen que ver con defectos congénitos que producen accidentes cerebrovasculares en las fases tempranas del desarrollo. De hecho, según recogía un artículo en la revista Wired, a la hermana de la paciente analizada en el trabajo publicado en Neuropsychologia le falta el lóbulo temporal derecho. Pero la naturaleza, con esa especial habilidad para adaptarse a las circunstancias, permitió a las dos hermanas tener una vida normal, reorganizando el cableado de su cerebro para colocar las funciones del lenguaje en las partes intactas.
Javier de Felipe, investigador del Instituto Cajal del CSIC, en Madrid, comenta otros casos de personas sorprendidas por sus particularidades cerebrales, como el de un hombre que por un caso de hidrocefalia durante la infancia “tenía agua en el cerebro y la corteza reducida a una pequeña lámina”, y aun así llevaba una vida normal, “o individuos que viven prácticamente sin cerebelo”. Sin embargo, apunta, “esas alteraciones sucedieron en las primeras etapas de la vida, cuando es posible que gracias a la plasticidad del cerebro, otras regiones intactas suplan las funciones dañadas”. Cuando este tipo de lesiones se producen en edades más avanzadas, el resultado es catastrófico.
En las primeras etapas de su desarrollo, el cerebro humano es mucho más flexible. En esos momentos, “es capaz de adaptarse, de tal manera que, si está afectada la corteza visual, se podría realizar un trasvase para que una parte más dedicada al procesamiento auditivo compense por la otra región perdida”, explica Sandra Jurado, investigadora del Instituto de Neurociencias de Alicante (UMH-CSIC). “Una vez que las conexiones están hechas, cortarlas es traumático, aunque hay casos en los que sí se da una redundancia en el cerebro y algunas conexiones se pueden redirigir para compensar parte de la funcionalidad perdida”, añade.
Jurado recuerda que “existen sistemas de seguridad en el cerebro, como las células gliales que reparan los pequeños daños que se producen en nuestro día a día”, pero también, como en los sistemas de ingeniería de los aviones, que son redundantes para evitar un desastre en caso de que falle una pieza, parece haber partes del cerebro redundantes que se pueden reutilizar en caso de lesión, principalmente durante el desarrollo embrionario o la primera infancia. Esto, además, sucede en las partes relacionadas con la corteza cerebral, la más humana del cerebro. Las partes más primitivas, relacionadas con funciones básicas como respirar o tener hambre, parecen más intocables, pero se puede vivir pese a la falta de grandes partes de la corteza.
“Los gusanos C. elegans tienen 302 neuronas, todos, pero el cerebro humano es mucho más variable”, cuenta De Felipe. “Puedes eliminar 4.000 neuronas y aparentemente no pasa nada, hay un exceso de neuronas que no sabemos explicar bien, pero puede suponer una ventaja evolutiva y es una capacidad que quizá podríamos aprovechar si conociésemos mejor”, continúa. Sobre esta diversidad de los cerebros humanos, el investigador del CSIC recuerda un hecho que asombraba a Cajal como la existencia de gente inteligente con cerebros muy grandes o muy pequeños: “Lord Byron tenía un cerebro que rondaba los dos kilos, y Anatole France, que ganó el Nobel de Literatura, lo tenía de un kilo”.
Los casos particulares, como el de la mujer que no tiene un lóbulo del cerebro, son útiles para conocer la localización de determinadas funciones o la posibilidad de reorganización de este órgano, pero también plantea preguntas sobre cómo funciona realmente. En algunas ocasiones, un accidente puede causar una lesión que produzca daños en la visión o la audición, pero generar también lo que se conoce como síndrome del sabio postraumático, que hace que personas sin una preparación en el campo emerjan del percance con extraordinarias habilidades matemáticas o musicales. En este sentido, también se sabe que la plasticidad cerebral, muy útil para recuperarse de las lesiones o para aprender, cuando es excesiva, puede causar un trastorno autista.
Además, como recuerda De Felipe, la reorganización cerebral no sucede solo por fallos en la programación genética o accidentes. “Hay un mapa básico del cerebro, pero después la variabilidad de individuo a individuo es muy importante, porque cada cerebro humano es distinto de otro, depende de tu historia y de todas las conexiones que haces cuando aprendes o cuando te relacionas con el mundo”. En este sentido, recuerda un trabajo realizado en Suecia con mujeres portuguesas que fueron a aquel país a trabajar como limpiadoras. De este grupo, una parte estaba alfabetizada y la otra no y el análisis de sus cerebros mostró que aprender a leer en la infancia condicionaba las regiones que utilizaban de adultas para procesar el lenguaje.
La mente emerge de la materia de nuestro cerebro y su interacción con el resto del cuerpo y el mundo, pero aspectos aparentemente inmateriales como la educación o la cultura modifican ese trozo de materia con resultados tan sorprendentes como la aparición de animales capaces de viajar a la Luna. Las personas que viven sin un trozo de cerebro son una muestra radical de la versatilidad y la diversidad de ese órgano que nos hace humanos y únicos.
Puedes seguir a MATERIA en Facebook, Twitter e Instagram, o apuntarte aquí para recibir nuestra newsletter semanal.
