
Si algo hemos aprendido en el último año es la importancia de contar con un buen sistema sanitario, de disponer de las herramientas y recursos para atender, informar y acompañar a quien más lo necesita. Con este propósito, la farmacéutica GSK, en constante investigación del mieloma múltiple, ha lanzado FaMMilia en el marco del Día Mundial de esta enfermedad. Una iniciativa formada por profesionales sanitarios, investigadores y pacientes, desde la que se llevarán a cabo múltiples proyectos con el objetivo de mejorar la vida de las personas que conviven con este tipo de cáncer hematológico. La fecha del lanzamiento tampoco se ha dejado al azar. El 5 de septiembre se conmemora el día mundial del Mieloma Múltiple, una fecha que surgió en 2012 para despejar dudas y crear conciencia sobre esta enfermedad.
Porque pocos diagnósticos nos producen tanto miedo e incertidumbre que el cáncer, la investigación y la comunicación se vuelven imprescindibles a la hora de afrontarlo. “Ahora, con nuevos tratamientos más complejos, la información ayuda a tomar decisiones. Un paciente informado maneja mejor su enfermedad”, apunta Teresa Regueiro, presidenta de la Comunidad Española de Pacientes con Mieloma Múltiple (CEMMP), una de las patologías más desconocidas para la población, a pesar de que se diagnostican 3.000 nuevos casos cada año en España. El mieloma múltiple incluso se considera una enfermedad rara por su incidencia, y el diagnóstico se suele retrasar al presentar síntomas muy inespecíficos, como dolor o cansancio.
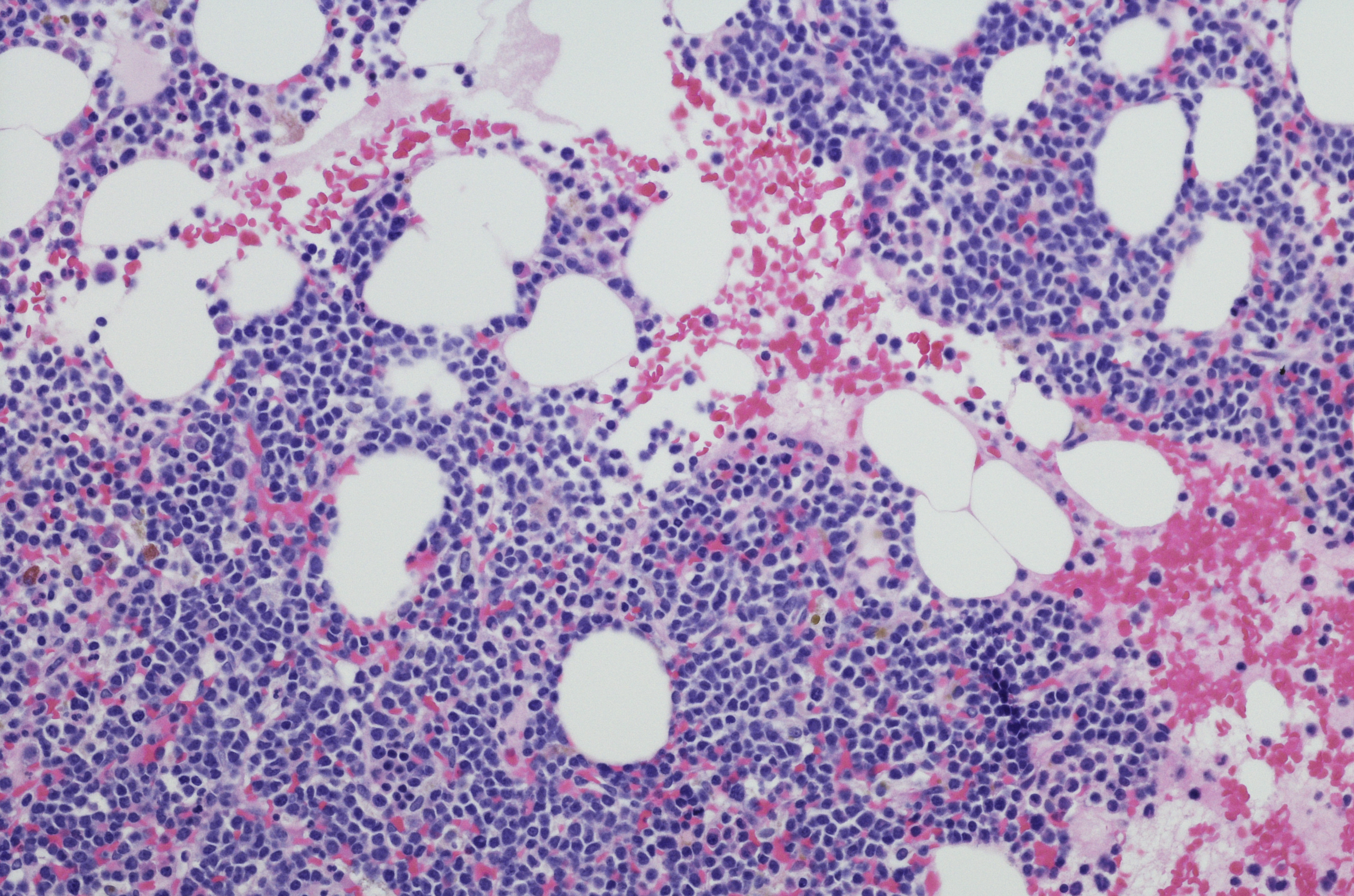
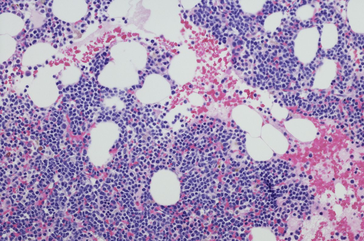
Su causa es desconocida. Se trata de una neoplastia hematológica (la segunda más frecuente) que se caracteriza por la proliferación clonal descontrolada de células plasmáticas anormales en la médula ósea. Representa entre el 1% y el 2% de todas las muertes por cáncer y, a pesar de los avances en el tratamiento, continúa siendo incurable. Todos los pacientes acaban recayendo y con cada recaída sucesiva las posibilidades de respuesta y su duración suelen reducirse.
Una plataforma para unir fuerzas
Aunque a día de hoy es un cáncer incurable, en los últimos años se han desarrollado tratamientos personalizados para controlarlo y mejorar la calidad de vida de los pacientes. Por eso, entre las iniciativas más destacadas de FaMMilia está su nueva web app: una plataforma con información variada sobre nutrición o ejercicio, herramientas de automanejo y, lo que es más importante, la conexión con organizaciones de pacientes como la CEMMP, para que puedan compartir experiencias con otros pacientes y, juntos, encarar mejor la enfermedad.
“Somos una compañía farmacéutica que dedica su energía a descubrir moléculas que puedan transformar la vida de los pacientes, y la iniciativa FaMMilia nos acompaña en este propósito. Es cierto que investigamos tratamientos, pero, etimológicamente, la palabra “familia” define nuestra vocación de servicio en todo lo que hacemos”, apuntaba Eloy Gómez, Director Comercial de Oncohematología de GSK en España en la presentación del proyecto. La familia de GSK está compuesta por profesionales sanitarios, sociedades científicas e investigadores, pacientes, asociaciones de pacientes y todas las personas que trabajan a diario por mejorar la situación de los que padecen mieloma múltiple.
Bajo el lema No estás solo, GSK lanzó también el pasado mes de julio el #ProyectoFaMMilia, un concurso dirigido a fundaciones, sociedades científicas o asociaciones de pacientes con proyectos innovadores enfocados a pacientes con mieloma múltiple. Dotado con hasta 10.000 euros para llevarlo adelante, el ganador ha sido seleccionado por un equipo de expertos y la farmacéutica se ha comprometido a donar un euro por cada una de las reproducciones del vídeo del proyecto. De nuevo, un trabajo en equipo para encarar el mieloma múltiple.
NP-ES-MMU-OGM-210010 (v1) 09/2021
